LLM Imagenología en Acción
Destacado LLM
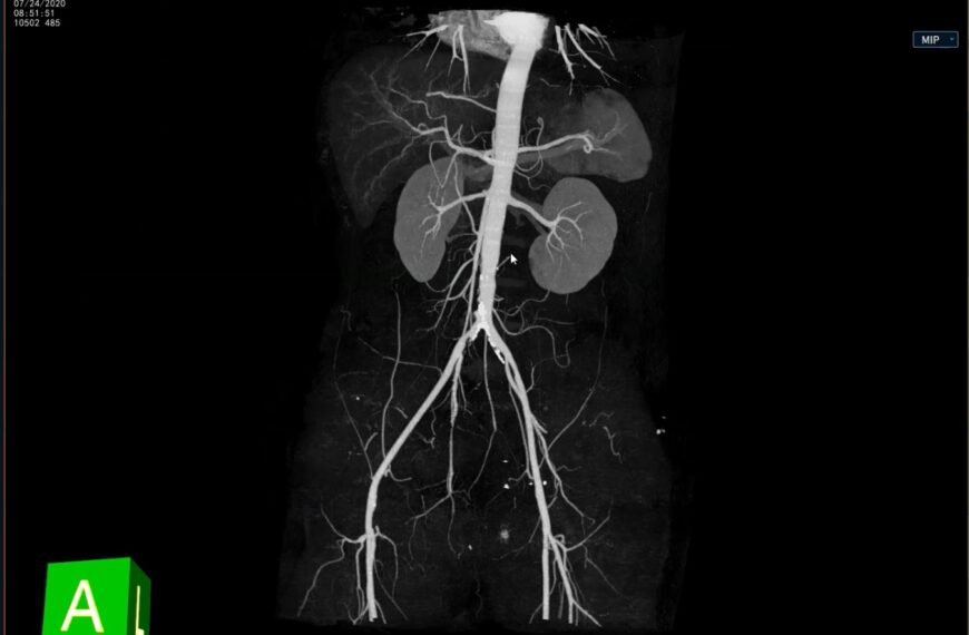
Mapeo vascular de alta precisión con IntelliAtlas
Mapeo vascular de alta precisión con IntelliAtlas Pro: flujo de trabajo optimizado con protocolo LAA LLM Radiologia Mapeo…
Análisis de Nódulos Pulmonares con IntelliAtlas Pro
Análisis de Nódulos Pulmonares con IntelliAtlas Pro: Detección precisa, seguimiento inteligente LLM Radiologia Análisis de Nódulos Pulmonares con…
Análisis Hepático tomografía computarizada Intel
Análisis Hepático con IntelliAtlas Pro: Precisión y planificación al alcance de todos LLM Radiologia Análisis Hepático con IntelliAtlas…
Módulo Análisis Pulmonar de IntelliAtlas Pro
Diagnóstico Pulmonar Preciso en Minutos: El Poder del Módulo Análisis Pulmonar de IntelliAtlas Pro LLM Radiologia ¿Por qué…
Tomógrafos post-procesamiento Mind
MindFound ha vuelto a revolucionar la imagenología médica con su software IntelliAtlas Pro, una solución de post-procesamiento de…
Introducción Técnica y Clínica a la Tomografía Computarizada
Introducción Técnica y Clínica a la Tomografía Computarizada LLM Radiologia Principios, Seguridad Radiológica y Tecnología Aplicada al Diagnóstico…
Postventa Rayos x en CRS Oriente: Soporte Vulcan…
Postventa Rayos X en el CRS Cordillera Oriente: Capacitación y Soporte en Terreno LLM Radiologia Un equipo confiable,…
Mantención de Arco en C: Seguridad y Precisión…
Mantención de Arco en C: Precisión Quirúrgica y Seguridad sin Compromisos LLM Radiologia ¿Por qué es tan importante…
Mantención de Equipos de Rayos X Seguridad y…
Mantención de Equipos de Rayos X: Seguridad, Ahorro y Diagnóstico Confiable LLM Radiologia ¿Por qué es tan importante…
Lo Más Leído en Imagenología
Recién Publicado
Mapeo vascular de alta precisión con IntelliAtlas
Mapeo vascular de alta precisión con IntelliAtlas Pro: flujo de trabajo optimizado con protocolo LAA…
Análisis de Nódulos Pulmonares con IntelliAtlas Pro
Análisis de Nódulos Pulmonares con IntelliAtlas Pro: Detección precisa, seguimiento inteligente LLM Radiologia Análisis de…
Análisis Hepático tomografía computarizada Intel
Análisis Hepático con IntelliAtlas Pro: Precisión y planificación al alcance de todos LLM Radiologia Análisis…
Módulo Análisis Pulmonar de IntelliAtlas Pro
Diagnóstico Pulmonar Preciso en Minutos: El Poder del Módulo Análisis Pulmonar de IntelliAtlas Pro LLM…















